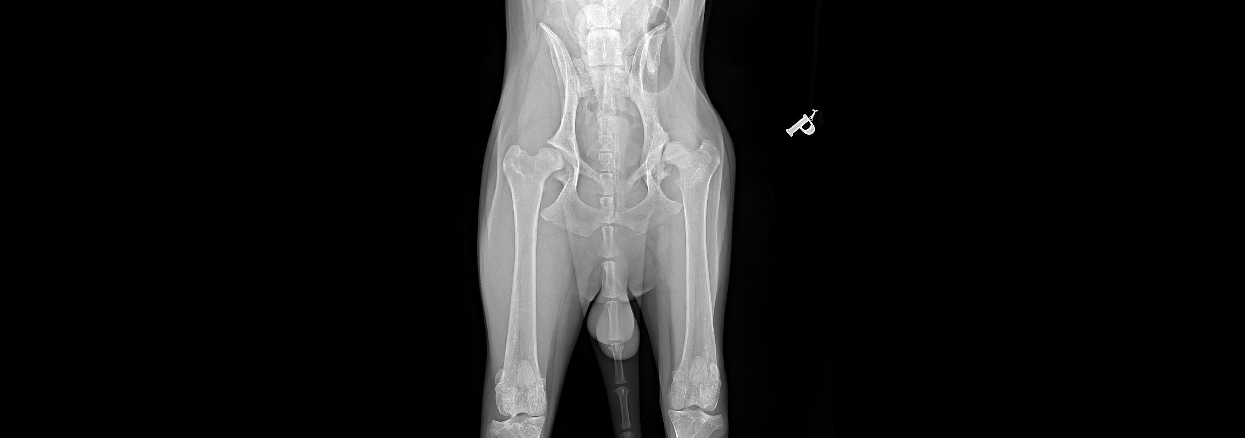
Jesteśmy totalnie załamani bo finanse naszej rodziny są w fatalnym stanie...a ze względu na to że Jamal cierpi,coraz gorzej chodzi operacja przydałaby sie jak najszybciej..Dzięki Waszym wielkim sercom udało się uzbierac na zrobienie prześwietlenia...Wierzę w Was ze i tym razem pomożecie udostępniając link zbiórki a i kazda złotówka się liczy!!Prosze pomózcie naszemu Jamalowi aby mógł znowu biegać i być szczęśliwym psem..Szczęśliwy pies to szczęśliwy własciciel. Zapraszam do obejrzenia krótkiego filmu w którym Jamal Wam wszystko opowie. Link do fimu znajdziecie na tej zbiórce. Dziękujemy!!!


Psy
Koty
Konie
Gryzonie
Pozostałe

