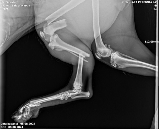
Dostałem ją od kolegi który jest hodowcą, za darmo, ponieważ została mu ostatnia z miotu i nikogo nie zainteresowała bo ludzie z reguły wolą samce,.Nie stać mnie na operacje łapy. W lewej tylnej ma złamane aż trzy kości.
Jestem samotnym ojcem i mam na utrzymaniu 3 córki i chociaż dwie starsze sobie dorabiają to po prostu pieniędzy nie mam. Myślałem o kredycie ale ten dadzą mi najwyżej banki typu provident gdyż nie mam stałej umowy o pracę.
Kocham tą inteligentną ale bardzo żywiołową istotę. Codziennie spędzam z nią godziny chodząc po lesie i na wykop na którym się kompała w upalne dni.
Pomóżcie.
Pozdrawiam.



Psy
Koty
Konie
Gryzonie
Pozostałe

