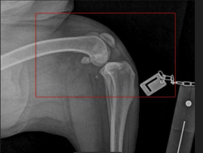
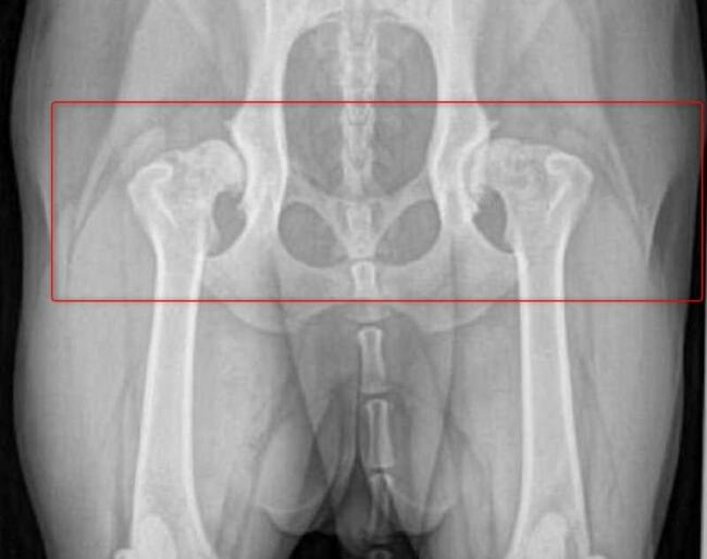
Mój ukochany Max ma dysplazje stawów tylne nogi oraz biodra odmawiają posłuszeństwa. Dotychczas starałam się finansować każdą wizytę, operację, zabiegi i rehabilitację. Niestety, nadszedł moment, gdy zostałam postawiona pod ścianą. Z osoby wspomagającej, mój przyjaciel i ja staliśmy się potrzebującymi.
Niestety stopień zwyrodnienia stawów i poziom zaawansowania choroby kwalifikuje Maxa na operację wstawienia endoprotez w obu biodrach, których koszt mimo moich oszczędności przekracza moje możliwości
Nie potrafię zapewnić mojemu psu godnego życia, pozbawionego cierpienia, dlatego też zwracam się do każdego z Was z prośbą o wsparcie.
powrót do listy
Pomoc pilna dla Maxa na operację
google.com, pub-8915492416862425, DIRECT, f08c47fec0942fa0
Komentarze

Psy
Koty
Konie
Gryzonie
Pozostałe






