Witajcie!
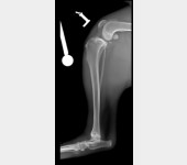
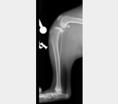
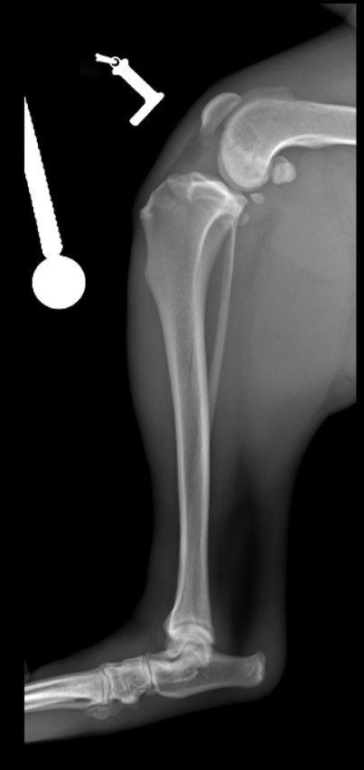
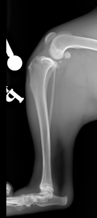
Nazywam się JJ :) Nigdy nie sądziłem, że będę potrzebował Waszej pomocy. Mam dopiero rok, urodziłem się 14 kwietnia 2019 roku. Lubię biegać, popiardywać, walczyć z odkurzaczem i dawać buziaczki człowiekom. Moi kochani opiekunowie przygarnęli takiego klopsa jakim jestem (a raczej byłem) ja... Mając zaledwie 4 miesiące zachorowałem na parwowirozę. Moje człowieki zrobili i oddali wszystko co mogli dać, abym wyzdrowiał. I tak się stało! Jednak zacząłem chorować bardzo szybko i po cichutku. Zaczęły boleć mnie moje tylnie nogi. Starałem się biegać, ale moje kolanka za bardzo bolały, więc ograniczyłem używania tylnich nóg do minimum podczas biegania. Żeby wejść na kanapę muszę bardzo się wysilić lub prosić moich człowieków, aby mi pomogli. Nie jestem w stanie wejść ani zejść po schodach bez odpoczynku. Moi kochani bracia i siostry (bo jesteśmy liczną rodzinką) patrzą na mnie z przykrością... Moje nietypowe siadanie na boku zaciekawiło domowników. Musiałem stworzyłem sobie garb, aby odciążyć nogi. Później pojawiły mi się guzki na prawej i lewej nodze. Na lewej nóżce guzek był troszkę większy, więc od razu pojechaliśmy do weterynarza. Niedobrze, bo guzki były już troszkę duże... Zapalenie, a może początek raka. Moja nowa Pani weterynarz zaczęła podejrzewać dysplazję biodrową. To mogłoby wyjaśnić moje “dziwaczne” siedzenie. Jednak nie była pewna, więc wysłała nas do specjalistów. Tam zrobili mi zdjęcia rentgenowskie i trochę mnie powyciągali. Bardzo mnie to bolało. Czułem wszystko, pomimo Jasia, którego dostałem. WERDYKT: Ześlizg główek w kościach kolana lewego i prawego o 33%, a to podobno bardzo dużo. Moje guzki to skutek rozlanego płynu zapalnego w kolanach. Moje lewe kolano choruje bardziej niż prawe. Jak się okazało nie urodziłem się z tym, ani nie jest to genetyczne. Po prostu zachorowałem na to. Moje kochane człowieki dostały dwie opcje.
Jedna to: operacja w kosztach 3 850,00 zł za jedną nogę (i to jak najszybciej...), a druga opcja to: amputacja kończyn.
A ja bardzo lubię moje nóżki...
Nie będę już zdrowy, ale choroba będzie rozprzestrzeniała się wolniej i mniej boleśnie.
Zwracam się do Was z prośbą o pomoc, gdyż moi opiekunowie nie są w stanie pokryć całej operacji. Na ten moment musimy uzbierać pieniążki na jedną nogę, a po pewnym czasie przyjdzie czas na drugą nóżkę.
Nie znacie mnie, a ja nigdy nie poznam Was moi kochani. Ale ja jak i moja duża rodzinka zawsze będziemy Wam wdzięczni.
Całuję wszystkich,
JJ :)
powrót do listy
Operacja dla JJ
google.com, pub-8915492416862425, DIRECT, f08c47fec0942fa0
Komentarze

Psy
Koty
Konie
Gryzonie
Pozostałe





