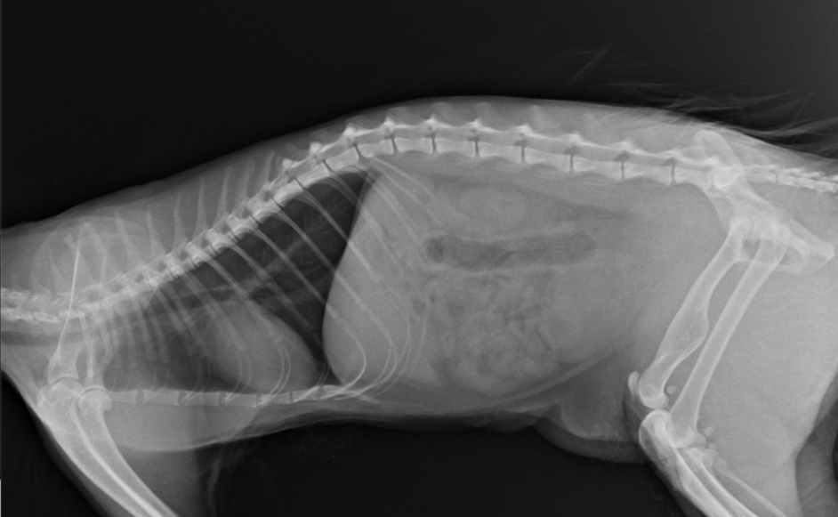
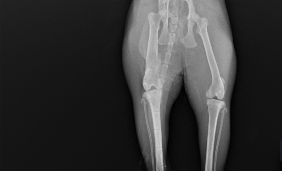
Trzy lata temu odłowiłam na osiedlu do sterylizacji dziką około 2letnią kotkę, która nazwaliśmy LUSI. Okazało się, że ma gorączkę, zapalenie płuc i inne przypadłości kota dziko - żyjącego. Z uwagi na konieczność leczenia, LUSIA zamieszkała z nami. Bardzo szybko zaadoptowała się do nowych warunków, więc została z nami. W tym roku zrealizowałam moje marzenie i przeprowadziłam się do mieszkania z ogródkiem. W trakcie prac wykończeniowych, przez nieuwagę pracownika wystraszona uciekła. Blisko 3 miesiące poszukiwałam ją bezskutecznie, aż do 18 marca Tego dnia szłam do domu i kotka słysząc mój głos, wyczołgała się z krzaków pod moje nogi ciągnąc za sobą tylną łapkę. Od razu udałam się do weterynarza i cios w serce... Okazało się, że LUSI została brutalnie, z wielką siłą potrącona przez samochód kilka tygodni wcześniej i pozostawiona w olbrzymim bólu i cierpieniu. Kotka po tym zdarzeniu zdziczała, ale nie dając za wygraną udałam się do znanego i polecanego specjalisty chirurga – ortopedy. Weterynarz zaleciła dalszą diagnostykę neurologiczną, leczenie farmakologiczne i dała nadzieję na wyzdrowienie kotki po zoperowaniu jej pękniętej miednicy i łapki. Niestety z uwagi na trudną sytuację finansową, nie jestem w stanie sama podołać tym kosztom. Bardzo proszę o wsparcie, abym mogła ulżyć kotce w cierpieniu.




