powrót do listy
Czyszczenie zębów, leczenie dziąseł
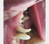
Zbiórka przeznaczona jest na czyszczenie zębów z kamienia nazębnego, oraz na leki, które trzeba podać,aby wyleczyć zapalenie dziąseł.
google.com, pub-8915492416862425, DIRECT, f08c47fec0942fa0
Komentarze

Psy
Koty
Konie
Gryzonie
Pozostałe
